Prothèses implantaires

En fonction des besoins, notre Laboratoire fait appel à des fabricants de haute qualité, reconnus dans le métier. Et pour une adaptation parfaite à la dentition de nos patients, nous réalisons tous les ajustements nécessaires sur place !

Pilier

Un pilier en titane est une solution favorable pour la gencive. Les pièces utilisées sont fabriquées sur mesure par des centre d’usinage de grande renommée, qui apportent des garanties au niveau pièces et implants. En complément, nous pouvons vous proposer l’anodisation pour une intégration optimale.

 

Il est également possible de recourir à un pilier en Zircone, sur une base titane pouvant être anodisée pour un design amélioré.

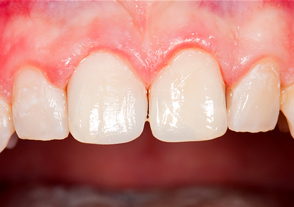
  • Before-Faux moignons
    After-Faux moignons
    Avant Faux moignons Après

Trans-vissées

Zircone stratifiée sur base en titane (rattrapage d’axe possible suivant les marques) :

Il s’agit de la couronne implantaire trans-vissée de référence ! Biocompatibilité, esthétique, antérieur ou postérieur, elle est utilisée dans la majorité des cas.

Full Zircone sur base en titane (rattrapage d’axe possible suivant les marques) :

La couronne implantaire trans-vissée alliant biocompatibilité, robustesse et esthétique. Elle est majoritairement utilisée pour le secteur postérieur.

Titane stratifié :

Cette couronne toute en titane avec une stratification céramique est le parfait compromis entre résistance et esthétique !

Barres implantaires

Nous mettons à votre disposition une barre usinée en titane et garantie par des centres de production reconnus. Une solution de restauration idéale pour les patients édentés totalement ou quasi-totalement ! Associant les avantages d’une prothèse implanto-portée à ceux d’une prothèse adjointe, tout en éliminant un bon nombre d’inconvénients, nous proposons une restauration stable, esthétique et avec un protocole de mise en œuvre maîtrisé.

  • Before-Barres Nobel Procera
    After-Barres Nobel Procera
    Avant Barres Nobel Procera Après
  • Before-Nobel guide
    After-Nobel guide
    Avant Nobel guide Après

Mise en charge immédiate

Généralement, plusieurs mois de cicatrisation sont nécessaires après un acte chirurgical. Toutefois, ce laps de temps sans prothèse n’est pas toujours possible. Notre Laboratoire a mis en place un protocole dédié à ce type de prestations, ainsi que du personnel spécialisé.